部分腹內疝的CT診斷
一、腹內疝的定義
疝是人體正常的組織或臟器通過潛在的腔隙或薄弱區域,由原來的部位移位到其他的部位。而腹內疝屬于疝中的一種,是腸管或少數腹腔內臟器官或組織通過腹膜或腸系膜的正常或異常的孔道、裂隙,離開原有位置而進入腹腔內的某一解剖間隙,從而形成腹內疝。
由于近端腸管的蠕動,致疝入該間隙的腸管不斷增加,使該間隙形成一個充滿腸管的封閉囊腔,受該囊腔的寬松度、疝囊口的大小及疝入腸管的多少,可以造成疝入腸管內容物的不斷增加。但該囊腔并無一實際的包膜,腸管在疝囊口部受壓,從而使疝囊內腸管發生絞窄,這就是造成本病臨床出現危重病情的關鍵所在。
二、部分腹內疝影像學表現
1 右側十二指腸旁疝(PDH)
Waldeyer陷窩進入腸管為多,它是位于SMA后方和十二指腸降段下方,為空腸系膜起始部的缺損,與胚胎發育時中腸旋轉異常有關。CT示右中腹囊狀團塊,進入疝囊腸管擴張充液,而腸系膜血管及分支則位于疝囊內后側,且受推壓。

2 左側十二指腸旁疝的CT表現
CT特征為左上中腹一堆互相擁擠的小腸聚集于一異常囊袋樣腫物內,其內腸管顯示擴張、通常以積液為主,腸管位于Treitz韌帶左側,在胃和胰之間,遠段小腸和橫結腸在其下方。供應疝囊內小腸的血管擴張、聚集、拉直伸展入疝囊內。疝囊頸的前界可顯示腸系膜下靜脈和左結腸動脈。遠側腸管正常或萎陷。

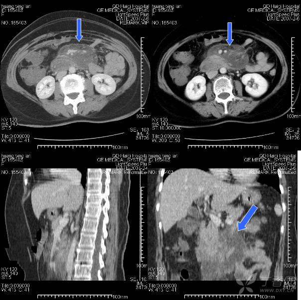
3 經腸系膜裂孔疝:transmesenteric hernia (TMH)
腸系膜是起自Treitz韌帶處,而止于回盲區的扇形腹膜折迭組織,腸系膜裂孔絕大多數為先天發育缺陷。裂孔的缺損大部在2~5 cm之間,疝入腸管多發生在回盲瓣以上50 cm處,故疝入腸管以回腸為主,占87%,易發生腸扭轉。結腸疝入者也見諸于文獻,約占9%。疝入的腸管60%發生絞窄。
臨床上TMH和經大網膜裂孔疝表現近似,發病率約占8%,TMH可分先天發育缺陷和獲得性兩種,70%發病在15歲以內,但平均年齡在50歲以上,說明老年人也是高發病人群,后者可因創傷、手術和炎癥所致。男女之比約為1∶2,視裂孔大小,臨床可出現疝入腸管退出情況,表現為反復發作的慢性過程,但大部份仍為急性腸梗阻甚至發生腸絞窄。
由于從裂孔疝出后并無一限制的疝囊,表現同于一般閉襻型腸梗阻,視裂孔大小,疝入腸管絞窄的嚴重性可能較之一般疝入陷窩者更甚。由于發生裂孔位置不定,又多在其游離緣,故無恒定的腹部CT定位,所以判斷進入疝囊內擁擠、擴張的閉攀腸管及受絞窄增粗、聚集的腸系膜血管非常重要。

急性腹痛,有腹部手術史。 手術診斷: 經腸系膜裂孔疝。
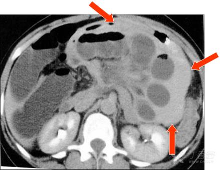
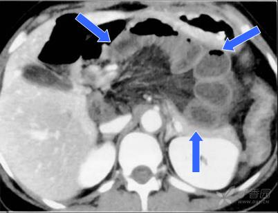
4 網膜孔疝foramen of Winslow hernia (Winslow疝 )
網膜孔疝是指腹腔內臟器經網膜孔疝入小網膜囊,病因多為網膜孔擴大,腸系膜過長或升結腸系膜殘存而致的腸襻活動度過大,誘因多為腹內壓改變(如分娩、排便等)。 –網膜孔疝占腹內疝的8%,20~60歲患者多見,疝內容物一般是小腸(60%~70%),其次是回腸末端、盲腸和升結腸(25%~30%)。極少數是橫結腸、網膜和膽囊。體征可伴有黃疸或腹部腫塊。
網膜孔疝的CT表現:網膜囊內見朝向網膜孔的鳥嘴狀充液氣腸管積聚,絞窄時有腹液; –腸系膜血管拉直、進入,胃受壓前移; –若盲、升結腸疝入,則右腹外側區不再顯示; –與左側十二指腸旁疝鑒別 ,前者疝入點相對較高,位肝門后方。

首次檢查圖像 1小時后復查,疝囊內腸管擴張明顯,囊內積血(紅箭),CT值高,示缺血嚴重。
5 盲腸周圍疝
PCH臨床見于任何年齡,平均約50歲,男∶女約2∶1,診斷困難,或僅同于一般腸梗阻,慢性者又與回盲部炎性病變相似,病情允許可做鋇餐或鋇灌腸,有助診斷。
盲腸周圍疝的CT表現:
疝入腸管多為回腸,擠塞于右髂窩盲腸后面和外側,腸管內以充滿液體為主,疝入腸管聚集于隱窩或旁溝內,受一無形囊袋限制,其內系膜水腫、系膜血管增粗聚攏,并有向疝內伸展趨勢,緊接疝囊口處的腸管偶可見鳥嘴狀狹窄,盲腸前內方推移。

6、直腸子宮陷窩疝hernia through the rectal fossa
直腸子宮陷窩(Douglas陷窩)是腹膜在子宮和直腸處的反折,其深度變化很大;子宮直腸陷窩過深可導致內疝發生,此被認為是先天性或手術所致。 CT表現直腸子宮陷窩處一簇聚集小腸疝入,其近段腸管可見明顯擴張、積液。
三、腹內疝的CT診斷特點
1.閉襻型腸梗阻 : 腹內疝是典型的閉襻型腸梗阻,因此必須掌握閉襻型腸梗阻的CT表現,腸管多呈“C”字形、“花瓣形”或“咖啡豆”征排列, CT能追蹤閉襻的走向和其表現。
2.腸系膜及其血管絞窄: 疝囊口部的大小、松緊是決定腸系膜及其血管絞窄的關鍵,也是本癥病理基礎的關鍵,CT可顯示其獨特表現。腸系膜可呈云霧狀密度增高,系膜血管擴張、牽拉、移位。
3.腹內疝發生的特定部位 : 有以上兩項基礎表現,結合各型腹內疝局限性的發病部位,疝內腸管聚集方向,周圍相鄰器官受推移表現,不難作出判斷。
4.疝口鄰近腸管:梗阻近段腸管擴張積氣、積液,遠段腸管相對萎陷。腹腔可伴有少量積液。
5.絞窄性腸梗阻征象:除以上征象外,增強掃描腸系膜血管閉塞時不強化或強化密度不一;腸壁缺血呈強化不均、弱強化、延遲強化或不強化;腸壁間積氣、腸系膜靜脈和(或)門靜脈氣栓時提示腸壞死;腸系膜積氣和(或)氣腹,提示腸壞死穿孔;腹水測得CT值超過25Hu,常視為血性腹水。
四、CT對腹內疝的診斷價值
1.MSCT應用以來,較傳統方法檢查急腹癥更快速、安全、準確、簡便。橫軸位結合冠、矢狀位重組圖像對腹內疝的診斷更具重要價值。
2.對以往臨床及 X線診斷困難的腹內疝患者,可以從解剖位置、病情嚴重程度等方面作出比較明確的診斷,為腹內疝的檢出、診斷和鑒別診斷提供了新的依據,以方便臨床治療方案的選擇。
3. 除傳統腹內疝以外,對臨床診斷困難的系帶粘連形成的內疝,能提供手術前診斷依據。
放射科:魏薇
指導老師:劉暉
2018年8月21日
- 上一條:影像科新技術臨床應用周刊第3季
- 下一條:影像科新技術臨床應用周刊第3季
- 影像科 新技術臨床應用周刊第9季 2024-01-23
- 影像科 新技術臨床應用周刊第8季 2023-12-21
- 影像科 新技術臨床應用周刊第8季 2023-11-13
- 影像科 新技術臨床應用周刊第8季 2023-10-17
- 影像科 新技術臨床應用周刊第8季 2023-09-11









