海綿竇區解剖
海綿竇(cavernous sinus)
海綿竇為一對重要的硬腦膜竇,位于蝶竇和垂體的兩側,前達眶上裂內側部,后至顳骨巖部的尖端。竇內有許多結締組織小梁,將竇腔分隔成為許多互相交通的小腔隙。


冠狀面示意圖
在冠狀面,海綿竇略呈尖端向下的三角形。
上壁向內與鞍膈相移行;
內側壁在上部與垂體囊相融合,下部以薄骨板與蝶竇相隔;
外側壁較厚, 又分為內外兩層, 內層疏松,外層厚韌。



海綿竇上面觀
每側海綿竇前起眶上裂的內側端,向后達顳骨巖部尖端, 長約2cm , 內外寬1cm 。

海綿竇的毗鄰
因個體差異,不同的人海綿竇邊界略有不同
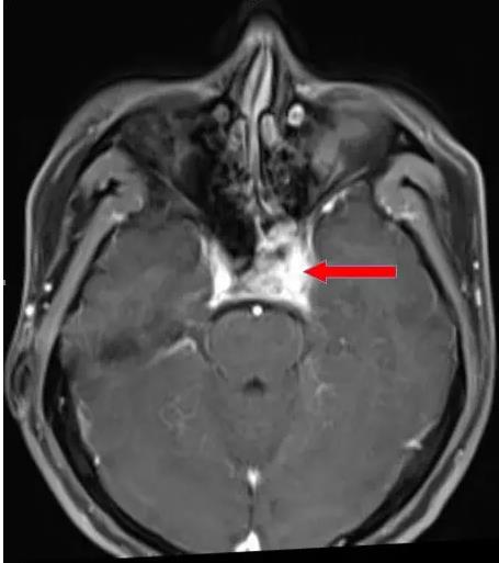
海綿竇位置影像顯示 (橫斷面),增強磁共振圖像(下圖中紅圈內高信號區即右側海綿竇)

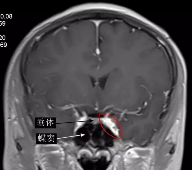
海綿竇位置影像冠狀位顯示 (增強磁共振圖像,下圖中紅圈內高信號區即左側海綿竇)



海綿竇綜合征
又稱Foix氏綜合征,巖蝶綜合征或破裂孔綜合征。
由于腫瘤沿咽旁筋膜擴展至巖蝶區的破裂孔、顳骨巖尖、卵圓孔、圓孔和蝶骨旁的海綿竇,可出現第Ⅱ~Ⅵ對腦神經受累時的表現。臨床上首先受累的多為第Ⅵ對外展神經,然后依次為第Ⅴ3,2,1、Ⅲ、Ⅳ對腦神經。主要表現為瞳孔散大、光反射消失、眼瞼下垂、復視、眼球各方運動受限或固定、三叉神經第1、2支分布區痛覺減退、角膜反射消失等。
鼻咽癌海綿竇受侵影像表現

腫瘤侵犯左側海綿竇,向后累及斜坡。


腫瘤累及左側鞍旁、左側海綿竇、篩竇及左側眼眶。


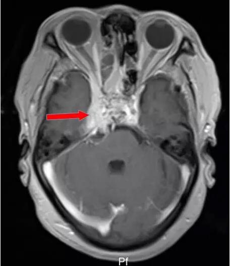
腫瘤累及右側海綿竇及臨近腦膜。

- 上一條:影像科新技術臨床應用周刊第3季
- 下一條:影像科新技術臨床應用周刊第3季
- 影像科 新技術臨床應用周刊第9季 2024-01-23
- 影像科 新技術臨床應用周刊第8季 2023-12-21
- 影像科 新技術臨床應用周刊第8季 2023-11-13
- 影像科 新技術臨床應用周刊第8季 2023-10-17
- 影像科 新技術臨床應用周刊第8季 2023-09-11









