近日,美國約翰霍普金斯大學的研究人員發現常見細胞“粘合劑”——E-鈣粘蛋白(E-cad)對乳腺癌轉移“功不可沒”。他們指出在乳腺侵襲性導管癌中,E-cad可限制癌細胞內的分子應力,使細胞在轉移后繼續存活并形成新的腫瘤!而E-cad又是公認的可以限制腫瘤轉移的分子,難道這個蛋白竟然有兩副面孔?

抑癌——“綁住”癌細胞
E-cad是一種同親型結合、Ca依賴的細胞粘著糖蛋白,是參與細胞間粘附連接的主要分子,發揮著維持細胞極性和組織結構完整性的功能。癌癥的發展和轉移皆牽涉了E-cad功能的表達或缺失,包括轉錄阻遏、表觀遺傳沉默、失活突變、增強退化、內吞作用和蛋白水解裂解。E-cad的功能缺失可降低腫瘤組織中細胞粘附的強度,導致細胞活動性增加,允許癌細胞穿過基底膜,獲得分化和高侵襲性。
同時,E-cad的下調是上皮間質轉化(EMT)的顯著性特征,而EMT是腫瘤惡性表型的重要標志。換言之,E-cad就是一條將癌細胞“綁”于局部組織中的“繩索”,當“繩索”被切斷(E-cad功能不足),癌細胞就掙脫了束縛,開始了轉移之旅。
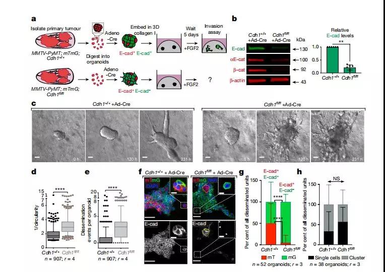
但是,研究人員發現,在占乳腺癌極高比例的亞型——侵襲性導管癌患者中,無論是原發灶還是轉移灶,都有不少E-cad表達。他們使用了管腔和基底浸潤性導管癌的小鼠模型,發現減少E-cad表達的確可以顯著增強癌細胞的侵襲性,也就是說E-cad“抑癌”的結論并沒有錯。那為什么侵襲性導管癌中E-cad的表達沒受到限制呢?

促癌——癌細胞的“保護傘”
在小鼠實驗中,研究人員有了出乎意料的發現——E-cad竟然可以促進侵襲性導管癌的轉移!結果顯示,E-cad缺失后,腫瘤細胞離開原發灶不久就大量死亡。僥幸未死亡的腫瘤細胞也沒有形成新腫瘤灶的能力,而仍有E-cad活性的腫瘤細胞則成功轉移定植。這就意味著E-cad是乳腺侵襲性導管癌轉移的關鍵。

進一步的研究發現,E-cad的功能缺失雖可引發腫瘤侵襲,卻也同時導致癌細胞的增殖和存活受到嚴重限制,使得循環腫瘤細胞數量顯著下降,進而遏制了癌細胞的繁殖和轉移生長。
E-cad功能缺失可上調TGF-β、活性氧濃度和凋亡信號傳導途徑基因的表達,進而引發SMAD2/3蛋白的核富集,導致氧化應激和細胞凋亡的增加。也就是說,E-cad正是通過限制活性氧介導的細胞凋亡成為了癌細胞名副其實的“保護傘”。
總而言之,在乳腺侵襲性導管癌中,E-cad是一把雙刃劍,當其需要轉移時,E-cad的表達會受限,但并未完全消失,從而賦予癌細胞侵襲能力。在“解放”了癌細胞后,E-cad又化身為癌細胞的“守護神”,保證癌細胞轉移的“一路平安”。這就提示若能進一步掌握E-cad作用的時相,在相應的時間內控制E-cad的功能,也許能為轉移性乳腺癌患者帶來一線生機。
- 上一條:這種腫瘤會遺傳!
- 下一條:升白針經常用,這些不良反應你清楚么?
- 血友病患者的家庭治療和護理 2023-03-31
- 血液病患者到底該不該接種新型冠狀病毒疫苗? 2023-02-28
- “陽過”該如何消毒 2023-01-29
- 人體鐵過載,什么方法可以去除? 2022-11-30
- 骨髓增生異常綜合征(MDS)鐵過載的檢查方法 2022-10-30









