卵巢病變的MR診斷價值
王 霞
在多種影像檢查方法中,US檢查方便/價廉,是卵巢疾病普查的首選方法,但診斷特異性和準確性較低;CT和MRI具有多方位、多序列成像、軟組織分辨率高及無輻射等優點,對卵巢病變的檢出率非常高,囊性病變的檢出率高達100%。卵巢病變中60-70%為囊性病變,MRI可清晰顯示囊內分隔及囊壁厚度,顯著提高了疾病的診斷和鑒別診斷。
以下對MRI在卵巢腫瘤及腫瘤樣病變中的價值進行簡單分類介紹:
1、病灶起源的判定:
(1)卵泡自身—囊腫、黃體囊腫、出血囊腫;
(2)卵巢起源—巧囊、積水/積膿、腫瘤;
(3)宮旁—闊韌帶囊腫/肌瘤、子宮漿膜下肌瘤;
(4)其它—子宮/盆壁神經源性腫瘤、其它腫瘤。
2、病灶成份判定:
(1) 囊性:卵泡囊腫—小于3cm,周期變化;膿腫—DWI明顯高信號,環壁明顯強化;輸卵管卵巢積水—臘腸/管狀結構/水樣信號;內膜異位囊腫—T1WI及T1WI脂肪抑制均為高信號多見,T2W低信號,也稱為暗影;漿液性囊腺瘤、囊性畸胎瘤、闊韌帶囊腫—部分不典型,鑒別較為困難,需要借助增強來判別;其它—包裹積液,淋巴管囊腫,盆腔其它囊性腫瘤。
(2) 囊實性:漿液性囊腺癌,轉移瘤,畸胎瘤惡變,卵泡饃細胞瘤;子宮肌瘤變性;卵巢輸卵管膿腫—炎性腫塊。
(3) 實性:卵泡膜細胞瘤;子宮漿膜下肌瘤;炎性腫塊;其它—腹膜轉移/淋巴結等
3、多序列成像及DWI成像優勢
更利于分析腫瘤的囊性成份,有助于提高診斷的準確性,比如根據粘液成份含量的增加,DWI表現為稍高至高信號,ADC值變化亦較為顯著;而漿液性成份DWI等信號多見;而出血性成份根據出血的不同時期及血液含量的多少,信號區別甚大。
4、增強掃描的優勢
在部分實質成份較少及可疑壁結節等的判定起到了關鍵作用,在腫瘤的良惡性診斷及定性診斷中不可缺少;增強掃描有助于判定腫瘤的毗鄰關系及脈管有無侵襲,有助于腫瘤分期的評估,為臨床治療方案提供較為可靠的依據。
5、典型病例列舉

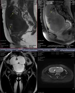
圖1 卵巢內膜樣囊腫 T1WI及T1WI脂肪抑制序列以高信號為主,T2WI以低信號為主,內部有少許其它信號病變,為出血不同時期的表現。

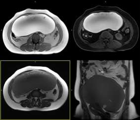
圖2 成熟型畸胎瘤 病變巨大,囊壁較均勻,可見少許分隔,邊界清楚,黃色箭所指為脂肪成份,可明確診斷。

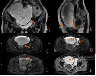
圖3 右側卵巢交界性黏液性囊腺瘤 囊內分隔多見,分隔厚薄不均,局部可見壁結節,DWI呈高信號(箭頭)。
圖4 右側卵巢卵泡膜-纖維瘤組腫瘤 病變中纖維成份較為典型,呈T1WI等信號,T2WI低信號,增強掃描表現為漸進性中等延遲強化,邊界清楚,除實質成份外含均勻囊性成份。
- 上一條:影像科新技術臨床應用周刊第3季
- 下一條:影像科 新技術臨床應用周刊第3季
- 影像科 新技術臨床應用周刊第9季 2024-01-23
- 影像科 新技術臨床應用周刊第8季 2023-12-21
- 影像科 新技術臨床應用周刊第8季 2023-11-13
- 影像科 新技術臨床應用周刊第8季 2023-10-17
- 影像科 新技術臨床應用周刊第8季 2023-09-11









