是“痔”不是痣
提起痔大家可能都不陌生,大部分人不但知道并且深有體會。一旦發生了痔,它對我們生活的影響也是非常大的。那么痔到底是什么呢,它有分為哪幾種類型呢?今天我們來了解了解。
痔(俗稱痔瘡)是一種位于肛門部位的常見疾病,任何年齡都可發病,在我國痔是最常見的肛腸疾病。痔是直腸下端和肛管粘膜下的痔靜脈叢發生曲張而成痔。
痔發生一般認為有兩個重要因素:1.靜脈內壓力增高,靜脈叢淤血,例如便秘時硬結糞塊積存于直腸內,可壓迫腸壁的靜脈,導致靜脈叢淤血。2.靜脈壁薄弱,失去其正常彈性,對壓力的抵抗力減弱。靜脈壁不能耐受血管內壓力而逐漸擴張成痔.
痔可分為內痔、外痔和混合痔三種。

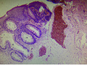
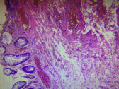
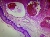
內痔位于齒狀線以上,是直腸上靜脈叢曲張的結果。外痔是直腸下靜脈叢曲張所致,位于齒狀線以下。由于直腸上、下靜脈叢間有豐富的吻合支,其中一個靜脈叢的曲張變化可波及另一靜脈叢,從而導致內、外痔合并發生,形成混合痔。鏡下,外痔表明由鱗狀上皮被覆,內痔則覆以柱狀上皮,其下主要由擴張、薄壁而充滿血液的靜脈組成,靜脈內常有血栓形成。此外,可見多少不等的漿細胞、淋巴細胞和中性粒細胞浸潤,表面可有潰瘍形成。

外痔 內痔 混合痔
- 上一條: 柳葉刀發布全球首份新冠肺炎病理報告
- 下一條:子宮頸上皮內瘤變
- 胎盤絨毛毛細血管增生病變(二) 2024-09-27
- 胎盤絨毛毛細血管增生病變(一) 2024-08-30
- 肺腺癌為什么越來越多女性發生 2024-06-21
- 基底細胞癌 2024-02-28
- 毛母細胞瘤 2023-11-29









