子宮頸上皮內瘤變
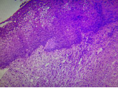
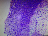
子宮頸上皮內瘤變(CIN)是指子宮頸上皮被不同程度異型性的細胞所取代。表現為細胞大小形態不一,核增大深染,核質比例增大,核分裂象增多,細胞極性紊亂。病變由基底層逐漸向表層發展。
根據其病變程度不同分為三級:Ⅰ級,異型細胞局限于上皮的下1/3,Ⅱ級,異型細胞累及上皮層下1/3至2/3,Ⅲ級,增生的異型細胞超過全層的2/3,包含原位癌。子宮原位癌是指異型增生的細胞累及子宮頸黏膜上皮全層,但病變局限于上皮層內,未突破基底膜。原位癌的細胞可由表面沿基底膜通過宮頸腺口蔓延至子宮頸腺體內,取代部分或全部腺上皮,但仍未突破腺體的基底膜,稱為原位癌累及腺體,仍然屬于原位癌的范疇。

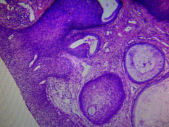
CINⅠ級 CINⅡ級 CINⅢ級
子宮頸CINⅠ并不一定都發展為CINⅡ和CINⅢ乃至浸潤癌,如經適當的治療,大多數CINⅠ可逆轉或治愈。發展為CINⅢ和浸潤癌的幾率和所需時間與上皮內瘤病的程度有關。病變級別越高,其轉化幾率越高,所需時間越短。大約一半CINⅠ可自然消退,約10%的CINⅠ需要10年以上經由CINⅡ轉變為CINⅢ,僅有不到2%的CINⅠ最終發展為浸潤癌,而CINⅢ在10年內發展為浸潤癌的幾率則高達20%。CINⅠ可查見低危型HPV感染;而CINⅡ和CINⅢ多數可見高危型HPV基因和鱗狀上皮基因的整合。
CINⅠ到CINⅢ級呈逐漸演化的級譜樣變化,而不是相互分離的病變。為避免差異,新進的分類將CINⅠ級歸入低級別鱗狀上皮內病變(LSIL),CINⅡ級和Ⅲ級歸入高級別鱗狀上皮內病變(HSIL)。P16和Ki-67免疫組化染色有助于鑒別LSIL和HSIL,P16彌漫連續的細胞核(或)細胞質陽性和Ki-67彌漫的細胞核陽性更支持HSIL的診斷。
- 上一條:是“痔”不是痣
- 下一條:關于“病理診斷”的6大常見問題
- 胎盤絨毛毛細血管增生病變(二) 2024-09-27
- 胎盤絨毛毛細血管增生病變(一) 2024-08-30
- 肺腺癌為什么越來越多女性發生 2024-06-21
- 基底細胞癌 2024-02-28
- 毛母細胞瘤 2023-11-29









